
インレーの下で広がるむし歯の治療の流れ


さて今日は金属の下で広がるむし歯治療についてです。
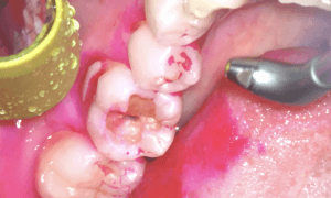
臨床を行っていると虫歯の再発による再治療を行うことが多いのです。特に金属のインレーを装着して何年か経つとインレーのきわと歯のエナメル質の間に隙間ができてくることがあります。その隙間は特に機能咬頭側のエナメル質がすり減り割れることで出来、そこから虫歯が再発することが多いように思います。
これは金属の硬さと歯のエナメル質の硬さに差があるため長年咬合力が加わることですり減るスピードが異なることで起こると考えています。

金属を除去してみると大きな虫歯が確認できました。

遠心方向からタービンなどの切削器具を用いる場合はミラーテクニックを併用します。特にエナメル質を保存する場合はアンダーカット部の軟化象牙質の除去にはエアースケーラーのラウンドチップを用いての除去が優れていて使いやすいと思います。


電気メスによる遠心歯肉の止血処理

遠心の歯肉は歯質のマージンが歯肉縁下となっているためマージンを明瞭に出ししっかり止血することが重要となります。
そのため電気メスにて歯肉切除と凝固を行っています。インレー修復による間接修復で印象をとる場合でも歯質のマージンが歯肉縁下となる場合は電気メスによる歯肉切除を行い窩洞のマージンをきれいに出す必要があるでしょう。
zooによる防湿

歯質の防湿にはラバーダム防湿とZOOを用いています。今回はZOOによる防湿を行い歯牙をしっかり乾燥させて接着操作を行なっています。
接着には歯がしっかり乾燥していることが重要です。唾液や血液の侵入があると接着がうまくいきません、確実な防湿が必要となります。

口腔内温度と湿度に対する3つの防湿法の影響
歯の形態の付与


手前の不良充填物の再治療とWSD(くさび状欠損)

今回は手前の第二小臼歯、第一大臼歯の再治療も行うこととなりました。第一大臼歯は咬合面に古いコンポジットレジンによる修復が行われていますが接着不良による剥がれが起こっているようです。また、唇側歯頚部のエナメル質のくさび状欠損がおこっています。

CRの再治療を行う際には古い充填物を全て取り切ることが重要です。接着がうまくいっていないために起こったので確実に古い充填物を除去しています。
プラークの染め出し

歯垢(プラーク)はコンポジットレジン修復を行う上で歯との接着に悪影響を与えます。そのためきれいにしておく必要があるのですが、プラークは目に見えないものもあるため歯垢染め出し剤で歯を染め出してから除去しています。
こういった一つ一つの操作が接着を確実なものとする上でとても重要になります。

くさび状欠損の充填と歯肉圧排

歯肉圧排糸という糸を歯ぐきのきわに挿入することで歯ぐきを押し下げることができます。

その後、形態修正と研磨を行い終了です。日々こういった精密治療を丁寧に行なっているのでかなり時間がかかってしまいます。患者さんには毎回、長時間お口を開けていてもらうので顎が疲れてしまって申し訳ないと思います。少しでも早く確実に治療が行えるように日々精進しています。























