
親知らずの治療は通常の歯科治療よりも難易度が高い処置です

左下の親知らずが欠けているとのことです。
幸い自発痛や冷水痛などの自覚症状が全くない状態で見つかった虫歯ですが、
レントゲン撮影をしてみると親知らずの遠心面と近心面に虫歯による透過像が認められました。


赤く記した部分が今回の虫歯で穴が開いている部分です。

通常ですと上の写真のように黄色く示した部分を金属のインレー修復にしてもおかしくはないと思います。
ただ金属のインレー修復を行うと歯を削る量が多くなってしまうので術後に歯がしみるようになったりします。
親知らずの治療が難しい理由
人間の構造上、顎をあけられる限界がありますよね。
みなさんも歯科治療中に「はい、お口を大きく開けてください~」と歯科医師に言われたご経験があると思いますが、術野が良く見えて器材が届くためにはお口を大きく開けていただかなければなりません。

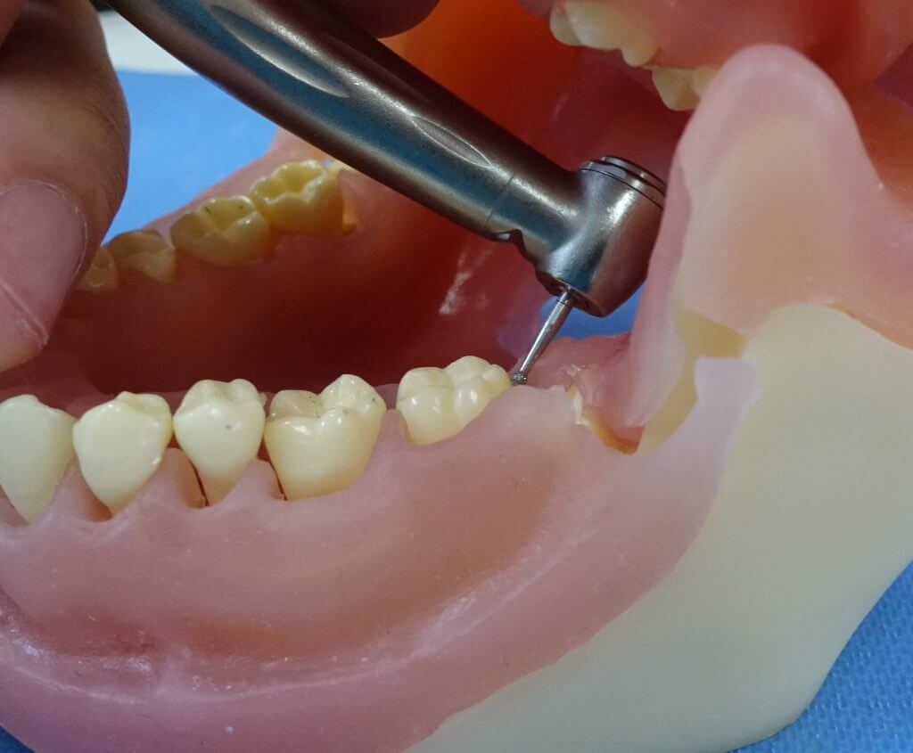
上の写真はタービンを遠心面に当てているところです。ご覧のように歯の裏側の虫歯をきれいに除去しようとするとかなり角度を付けて器材をあてなければいけないことが分かります。
また、器材を適切にあてようとすると顎を大きく開けなければいけないことも分かります。
これが親知らずの治療が難しい理由のひとつです。

それを解決するためにミラーテクニックが必要になってきます。
上の写真は奥歯の遠心面をミラーで確認しているところです、このようにミラーを見ながら虫歯を取り除くことができれば少ない開口量でも適切に治療することができます。
ただ、鏡を見ながら虫歯を取り除く事、歯を削ることはとても難しく特殊な治療技術だと思います。
実際の治療を見てみましょう

虫歯を取り除くと大きな穴になっているのが分かるでしょうか?出血を伴わずにきれいに虫歯を取り除くことがとても重要で、とても難しい処置です。

CR修復を行った後



その後、CR充填、形態修正、研磨作業を行います。


何とか神経を保存しつつ歯の切削量を抑えて充填することができました。
この部位はもともとブラッシングしにくい部位なので今後の虫歯の再発予防と経過観察を注意深く行っていきたいと思います。





















