
歯と歯の間が虫歯になってしまった場合どうすればよいのか?
ダイレクトボンディングにて修復
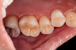
歯と歯の間がむしばになっており、その後の修復についてです。
虫歯が進行して歯と歯の間にまで及んでいました。
この場合、歯と歯の間のコンタクトポイントを作ってあげる必要があります。

ラバーダム防湿
接着操作を行う場合はラバーダム防湿やZOOを用いて行なっています。

歯と歯の間をしっかり離開してやることでコンタクトを作っています。

コンタクト直下にバリや段差ができると食片圧入といって食べ物が詰まりやすくなってしまいます。
食べ物がつまると歯肉に炎症が起こったり虫歯になったりしますので適合の良い修復が不可欠となります。

Ⅱ級窩洞をⅠ級窩洞にしてから咬合面形態を充填していく。

咬合調整を予測しながら充填していきます。あまり後で削りたくないのでぴったり充填できるように日々精進しています。
コンタクトを作る場合
きれいにコンタクトを作る場合に重要視していることはしっかり歯間離開することとマトリックスをきれいに圧接することだと思います。



歯間離開をしっかり行うためにいくつかのウエッジを用意しています。材質や硬さによってマトリックスの圧接に適したものや歯間
離開に適した物などいろいろあります。
形態修正と研磨



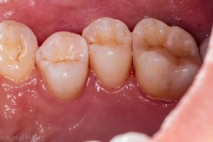
最後に形態修正と研磨で終了です。歯と歯の間のコンタクトや歯の形態まできれいに作ることができたと思います。





















