
はじめに
『以前はなかったのに最近になって歯ぐきにぷくっとしたものができた』、
『ここ2、3ヶ月ぐらい歯ぐきが腫れたり引いたりしている』
こんな症状の出ている方へ、歯ぐきが腫れると気になって仕事や日常生活に支障が出てきますよね。
今回は歯ぐきの腫れる理由や正しい対処方法などをまとめた記事にしています。
炎症の5徴候

炎症の5徴候と聞いたことがあるでしょうか?
体に炎症を引き起こす原因は様々ありますが、外傷や打撲、細菌の侵入、化学的物質の刺激等によって引き起こされます。
発赤 (ほっせき)、熱感 (ねっかん)、腫脹 (しゅちょう)、疼痛 (とうつう) を特徴とする徴候が生じ、これを炎症の4徴候と呼んでいます。さらに組織異常の発生部位にもよりますが機能障害をもたらします、これをあわせて炎症の5徴候と呼びます。
炎症の初期は血管透過性の亢進が起こり血管の中の液体成分が出てきていわゆる浮腫とまります。
次に白血球が血管の外へ遊走し出てきます。好中球やリンパ球が細菌をやっつけようとして血管の中から出てくるわけですね。
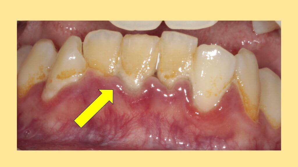
腫れたりするのは歯ぐきの中で炎症が起きている状態です。
歯ぐきは血管が豊富な組織

歯ぐきは毛細血管の多い組織です。炎症の結果として歯ぐきが腫れたりするわけですね。
歯ぐきが腫れる原因

歯ぐきが腫れる原因にはいくつかあります。主にはばい菌感染によって炎症が起こった結果として歯ぐきが腫れるという症状が出ます。頻度の高いものから述べていきたいと思います。
歯周病によるもの

歯ぐきが腫れる代表的な病気です。歯周病は歯肉炎と歯周炎に分けられますが、プラークや歯石、バイオフィルムが付着することで歯肉や歯槽骨で炎症が起きその結果として歯ぐきが腫れます。
根尖性周囲炎によるもの

根の先に膿がたまると膿は骨を溶かしながら外へ飛び出ていきます。そのため歯ぐきにぷくっとしたものができることがあります。このぷくっとしたものを歯ぐきが腫れたと感じることがあります。
歯根破折によるもの

歯根破折が起きると生体の中と外を細菌が容易に行き来できてしまう状態になってしまいます。本来人間の体は上皮に覆われて簡単に体内に細菌が侵入することはできません。歯が割れたことでばい菌の進入路ができ細菌が侵入すると炎症の反応が開きますので歯ぐきが腫れることがあります。
食片圧入によるもの

歯と歯の間に食べかすがつまることを食片圧入といいます。
隣り合う歯と歯の圧力が弱くなったり適合の悪い詰め物や被せものが入っていると食事でものを咬んだ時に歯と歯の間に食べかすが入り込みます。
入り込んでもすぐに取れれば問題ないのですがそのまま取れずに何日も残り続けると歯ぐきに炎症が起こり腫れてしまいます。
歯ぐきから膿が出てくる場合
歯ぐきの中で白血球が戦っているサインです

歯周病は感染症です。歯周病原性細菌が歯ぐきの中へ侵入すると炎症が起こります。
本来人間には免疫がありますので体内へ細菌が侵入すると免疫が反応します。細菌をやっつけようと白血球の遊走がおこり抗原抗体反応が起こります。
歯周病は自然治癒しない
歯周病はアタッチメントロスと歯槽骨の吸収を特徴としています。
細菌が侵入して免疫反応が起こってもそれによって自然治癒することはありません。歯石の除去をはじめとした原因除去療法が基本となります。
歯ぐきが下がり自然に治ることはあるのか?
鏡で見ると以前より歯ぐきが下がった気がすると感じている方は多いようです。
歯ぐきが下がった内部では歯を支えている歯槽骨も下がっている可能性があります。また、一生懸命歯ブラシをしても一度下がってしまった歯ぐきは自然に治ることはありません。さらなる歯ぐきの下がりを防ぐためにも早めに歯科医院で原因を診査診断しましょう。





















