
前歯のシェードテイキング
歯の色を正しく撮影することが歯科治療で求められます。ただ単純に歯の色だけではなく歯の表面性状も記録することで歯科技工所とのコミュニケーションがうまくいきます。正しくコミュニケーションすることが色調再現には欠かせませんね。
今日は現在私の歯科医院で用いているシェードテイキングについてのお話です。
忍者レフで光をバウンスする
忍者レフとはガラスへの撮影者及び室内光等の映り込み防止アイテムとして使われている商品です。
国際宇宙ステーション「きぼう」でも活躍中のようです。
黒い面を被写体側にした場合の使用例
■飛行機、電車、バスなどの車窓越しの撮影
■東京タワー、スカイツリー等の展望台からの撮影
■ガラス越しの夜景撮影
■水族館や水槽の熱帯魚
■商品撮影
白い面の使用例
■商品撮影や花などのマクロ撮影時のレフ板として
■ポートレート撮影時のキャッチライト用レフ板として
この忍者レフをシェードテイキング時に使えないかと考えたわけですね。

折りたたむとかなりコンパクトです。

パッと広げるとバネの効果で一瞬で広がります。

忍者レフの真ん中には穴が空いているのでここにレンズ鏡筒を通します。

ズボッとはめるだけですから使わないときは外しています。

横から見るとこんな感じ結構圧迫感がありますね。
ポイントはマクロツインライト MT-26EX-RTを内側に向けているということです。こうすることで忍者レフに光を一度当て光の質を柔らかくしています。

光のバウンスのイメージはこんな感じです。赤く書いた線のように光がバウンスして直射よりも柔らかい光になります。
松風ヴィンテージ ハロー NCCシェードガイドのガミーにVITAのクラシカルシェードガイドを使う
松風のヴィンテージ ハロー NCCシェードガイドは天然歯の色調分布をもとにして従来のビタシェードの構成(A系・B系・C系・D系)を見直し、明度別にホルダーを3つに分類されています。
しかし私はVITAのクラシカルシェードガイドを普段用いていますのでVITAでシェードテイキングしています。
技工士さんもVITAを使用していますので歯科医院と技工所でおなじシェードガイドを使用すべきですね。
VITAのクラシカルシェードガイドにガミーをつけたい場合


ガミーにVITAのクラシカルシェードガイドを入れると上記のようにつっかえてしまいます。

裏から見るとこんな感じ。

この赤くなっている部分がガミーに当たっているので削ってしまいます。

そうするときれいにはまります。
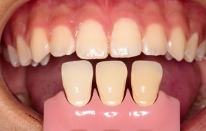
シェードテイキングでの実際の口腔内写真

正面観はこんなかんじですね。


フラッシュの光の反射が歯面中央部に2つ出ています。フラッシュの反射あとを完全にゼロにするのはかなり難しいのでいくつかの方向で撮影しておきます。

リングフラッシュでのシェードテイキング

リングフラッシュでシェードテイキングするとどう写るんでしょうか?

光の直射が強すぎて歯牙表面が白とびしてしまっていますよね。シェードタブも色調をうまく表現できていません。

これだと色調をうまく伝えることは難しいですね。
まとめ
シェードテイキング時の白とびは技工士さんからもよく注意を受ける事柄ですので安定した結果が出やすいシステムを模索していました。
とにかく光が強すぎてはだめですので柔らかい光にする必要があります。世の中には様々なバウンスシステムがあります、色々試してきましたが忍者レフでバウンスさせることで安定した結果が出やすいと思い現在はこのシステムを使用しています。
ツインフラッシュのディフーザーはこれ以外にも多数ありますので機材好きなのでつい色々試してしまいます。困ったものです。





















